Pneumonia - Causes
The list of organisms that can cause pneumonia is very long. It includes bacteria, viruses, fungi, and parasites. Some examples include:
- Viruses are the most common cause of pneumonia in young children. These viruses also cause other infections of the respiratory system, such as influenza (see influenza entry), tonsillitis (see tonsillitis entry), and the common cold (see common cold entry).
- Bacteria are the primary cause of pneumonia in older children and adults. The most common of these bacteria are Streptococcus pneumoniae, (pronounced STREP-tuh-coc-us noo-MOHN-ee-ay) Haemophilus influenzae, (pronounced HEE-mof-uh-lus in-floo-EN-zay) and Staphylococcus aureus (pronounced STAFF-lo-coc-us or-ee-us).
- An organism called Mycoplasma pneumoniae affects older children and adults. The organism is somewhat similar to both bacteria and viruses. It produces a form of pneumonia known as "walking pneumonia."
- A protozoan (one-celled organism) called Pneumocystis carinii causes a form of pneumonia in people with weakened immune systems. The condition, pneumocystis carinii pneumonia (PCP), is one of the most serious medical problems for people with HIV or AIDS. It also affects people whose immune systems have been weakened by chemotherapy or cancer.
- An organism known as Chlamydia psittaci causes a form of pneumonia sometimes known as "bird pneumonia." The disease is quite rare and was once observed only in humans who came into contact with bird droppings. People infected with HIV are also susceptible to the infection.
- In 1976, a new form of pneumonia was discovered. It broke out among a large group of people attending an American Legion convention. The infection was caused by a previously unknown organism. Subsequently named Legionella pneumophila, it causes what is now called Legionnaires' disease. The organism was eventually traced to the air conditioning units at the hotel where the convention took place.
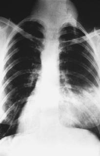
X ray showing pneumonia in the right lung. (Reproduced by
permission of the
National Audubon Society Collection/Photo Researchers, Inc.
)

Comment about this article, ask questions, or add new information about this topic: